Раком легких называют злокачественную опухоль, развивающуюся из легочной паренхимы или тканей бронхов. Этот вид рака является одним из наиболее распространенных онкологических заболеваний. Он отличается ранними метастазами и скрытым протеканием, т.е. не сопровождающимся очевидными симптомами.
Центральный рак
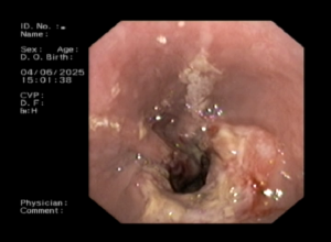
Центральный рак, как следует из его названия, расположен ближе к центру грудной клетки, в глубине легких. Он поражает крупные бронхи: главные, долевые, сегментарные, промежуточные. Данные опухоли чаще всего представляют собой плоскоклеточные карциномы.
Центральный рак может расти по-разному. На характере роста основана следующая классификация:
- Экзофитный (
- Эндофитный (экзобронхиальный)
- Рак с муфтообразным ростом
- При смешанном характере роста
Периферический рак развивается в наружной части легкого, в которой находятся мелкие бронхи и альвеолы. Выделяют следующие разновидности этого типа злокачественных опухолей:
узловая форма – очаг опухолевого поражения в виде одного узла, который может располагаться субплеврально (у поверхности легкого) или в толще ткани органа;
диффузная, милиарная, пневмониеподобная формы – когда в легочной ткани разбросано множество мелких очагов, имеется инфильтрат;
полостная форма – опухоль, внутри которой находится полость, из-за чего на снимках она напоминает абсцесс (полость с гноем) или кисту;
кортикоплевральная форма – злокачественный процесс, вторгающийся в грудную стенку;
медиастинальная форма – злокачественная опухоль, вторгающаяся в средостение, расположенное в центре грудной клетки;
рак верхушки легкого с синдромом Панкоста (опухоль Панкоста).
Методы лечения
При лечении рака легких в онкологии применяется метод хирургического удаления опухоли, лекарственная терапия (химиотерапия, таргетная и иммунотерапия), лучевая терапия, а также их различные сочетания. Выбор конкретного способа зависит от состояния пациента, стадии болезни, размера новообразования и других факторов. Наиболее эффективным методом лечение рака является хирургический. При операции удаляется часть легкого с опухолью или все легкое с регионарными лимфоузлами. На исход операции влияет локализация опухоли и ее размер, возраст пациента, наличие метастазов.
Второй по эффективности метод лечения рака легкого – лучевая терапия. При этом на опухоль воздействуют при помощи ионизирующего излучения. Высокая эффективность обусловлена применением современного оборудования (линейных ускорителей VARIAN с системой трехмерного планирования) и работой в соответствии с международными стандартами. Метод же химиотерапии заключается во введении в организм больного лекарств, избирательно подавляющих рост злокачественных клеток. При этом не происходит серьезное повреждение здоровых органов и тканей.
Фотодинамическая терапия при раке легкого
Фотодинамическая терапия (ФДТ) — неоперационный метод лечения рака, который позволяет разрушить злокачественные клетки и повредить кровоснабжение тканей опухоли. Это минимально инвазивная процедура, состоящая из двух стадий, включающих введение фотосенсибилизирующего агента (фотосенсибилизатора) с последующим облучением опухоли с помощью лазера. В результате взаимодействия фотосенсибилизаторов и лазерных лучей в раковых клетках происходят химические реакции и они разрушаются.
Она имеет более благоприятный профиль безопасности по сравнению с хирургией, дистанционной лучевой терапией, эндобронхиальной брахитерапией клинич цитостатической химиотерапией. Процедура хорошо переносится больными, и в настоящее лечение чаще всего проводится в амбулаторных условиях. В случае неполного ответа или рецидива заболевания пациентам могут быть повторно проведены лечебные процедуры. ФДТ не создает сложностей для последующего назначения других методов. Важным моментом можно считать отсутствие ограничений применения ФДТ вслучаях развития резистентности к химиотерапии 
или лучевой терапии Механизмы действия ФДТ реализуются путем прямого повреждения опухолевых клеток через апоптоз, некроз, деструкцию опухолевой сосудистой сети, воспалительные реакции с последующим противоопухолевым иммунным ответом. Характер используемых в торакальной онкологии фотосенсибилизаторов, их дозы и способ введения принципиально не отличаются от классических подходов ФДТ, а вот способ доставки лазерного света может иметь особенности в зависимости от конкретной клинической ситуации, целей лечения, Основных показания к его применению в торакальной онкологии: ранние формы центрального рака легкого у функционально не операбельных больных; полная или частичная обструкция опухолью долевых или сегментарных бронхов, симптоматическая терапия при распространенных формах с внутрибронхиальным опухолевым поражением; паллиативная помощь при прогрессировании заболевания; лечение опухолевых плевритов; использование ФДТ в качестве компонента комплексного лечения.онкологичексих заболеваниях
Клиника АЛЬФА -МЕД обладает опытом применения ФДТ при различных онкологических заболеваниях , а также при раке легкого . Возможность применения ФДТ оценивается в каждом конкретном случае